Il melanoma uveale, che origina dai melanociti uveali della cresta neurale, è il tumore maligno intraoculare primitivo più frequente dell'età adulta; esso tende a crescere sia all'interno del bulbo, invadendo e disorganizzando i tessuti intraoculari, sia all'esterno, infiltrando la sclera ed i tessuti orbitari. Il melanoma uveale metastatizza a distanza unicamente per via ematogena data l'assenza di vasi linfatici a livello bulbare.
Nel 1979 Wilkes e coll. calcolarono una incidenza annuale nella popolazione generale di 7 nuovi casi per milione di abitanti, con una grande differenza in rapporto all'età: tre casi per milione al di sotto dei 50 anni, 21 casi al di sopra. Attualmente la sua incidenza annuale negli Stati Uniti è stimata essere di circa 6 nuovi casi per un milione di abitanti.
Sulla base di questi dati possiamo presumere che in Italia si verifichino circa 400 nuovi casi ogni anno. La sede di insorgenza più frequente è la coroide (85%), seguita dai corpi ciliari (10%) e dall'iride (5%).
Diagnosi
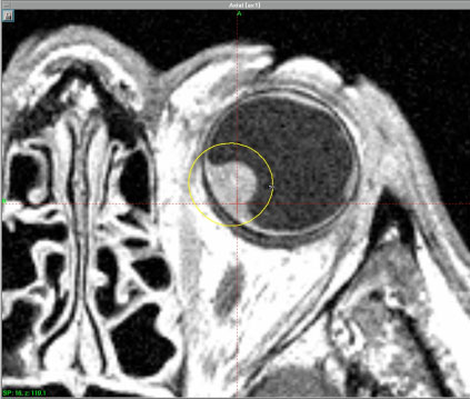
La diagnosi di melanoma coroideale è essenzialmente clinica. La diagnosi differenziale con le altre lesioni pigmentate uveali (nevo, melanocitoma, ipertrofia dell'epitelio pigmentato retinico, emorragia coroideale, neovascolarizzazione, eccetera) si basa sulla valutazione oftalmoscopica da parte di un oftalmologo esperto.
Gli esami strumentali accessori utilizzati sono l'angiografia a fluorescenza e/o con verde indocianina e l'ecografia oculare A/B scan.

Le diagnosi differenziali più impegnative riguardano i tumori amelanotici (nevi, emangiomi, metastasi, osteomi) e quei casi in cui non è possibile visualizzare la lesione a causa dei mezzi diottrici non trasparenti (leucomi corneali, cataratta, emovitreo, distacco di retina).

La storia naturale della malattia, documentata in qualche caso dalla letteratura, è invariabilmente caratterizzata dallo sviluppo di metastasi a distanza.
Le sedi preferenziali sono il fegato (92% dei casi), il polmone (31%), lo scheletro (23%), la cute (17%) ed il sistema nervoso centrale (4%). Il tempo di comparsa dei secondarismi è estremamente variabile (da 2 mesi a 30 anni); solitamente la loro comparsa porta al decesso entro un anno.
Prognosi
La classificazione citologica del melanoma uveale è un importante fattore prognostico. Sono stati identificati tre tipi di cellule: cellule fusate A, cellule fusate B, cellule epitelioidi. Sulla base di questa suddivisione Callender classificò i melanomi in 6 gruppi, con prognosi differente: a cellule fusate A e B, fascicolari, misti, necrotici ed a cellule epitelioidi. Più recentemente, McLean in un ampio studio retrospettivo ha riclassificato su base prognostica i melanomi in tre gruppi: nevi a cellule fusate, melanomi a cellule fusate e melanomi a cellule miste (fusate ed epiteliodi).
La mortalità a 10 anni variava dallo 0% per i nevi a cellule fusate a più del 50% per i melanomi a cellularità mista. Sono stati individuati altri fattori in grado di influenzare la prognosi quoad vitam, oltre alla citologia. I più importanti sono: l'età del paziente, la localizzazione del tumore, il limite del margine tumorale anteriore, il diametro massimo tumorale, l'integrità della membrana di Bruch e l'infiltrazione sclerale. A titolo puramente esemplificativo si può ritenere che un paziente anziano con un melanoma esteso ai corpi ciliari, con rottura della membrana di Bruch e con infiltrazione sclerale abbia una prognosi pessima.
Trattamento e risultati
L'evidenza anatomica di un tumore completamente contenuto nel guscio sclerale e l'assenza di vasi linfatici bulbari hanno giustificato per anni l'utilizzo dell'enucleazione quale unica metodica terapeutica. Tuttavia, nonostante l'apparente radicalità dell'intervento e l'assenza di metastasi al momento del trattamento, l'analisi di ampie casistiche retrospettive evidenziava un elevato tasso di mortalità: il 35% a 5 anni, il 57% a 10 anni ed il 60% a 25 anni.
McLean e Zimmermann, in uno studio retrospettivo condotto su 3432 casi, evidenziarono la presenza di un picco di mortalità a circa due anni dall'intervento di enucleazione, dovuto forse ad una disseminazione di cellule neoplastiche durante l'intervento chirurgico.
Sulla base di questa ipotesi si cercò di ridurre le conseguenze della manipolazione chirurgica del bulbo oculare sottoponendolo a congelamento durante l'intervento, o ad irradiazione, con dose di 20 Gy, 24/48 ore prima dell'enucleazione.
Questi accorgimenti non hanno tuttavia dimostrato alcuna influenza sulla prognosi quoad vitam del paziente enucleato. Vennero quindi sviluppate terapie conservative in alternativa all'enucleazione (osservazione periodica di piccole lesioni, trattamento laser, resezione chirurgica e radioterapia) in grado di garantire al paziente, a parità di sopravvivenza, il mantenimento in sede del bulbo oculare con un eventuale residuo visivo.
L'osservazione periodica viene riservata alle lesioni di piccole dimensioni (spessore inferiore a 3mm) ed è giustificata dalla constatazione che alcune piccole neoformazioni precedentemente classificate come melanomi a cellule fusate erano in realtà nevi a cellule fusate. Inoltre sono stati documentati melanomi a crescita zero, definiti "dormant melanoma" dagli Autori anglosassoni, che non crescono e non metastatizzano.
L'osservazione avviene mediante valutazione oftalmoscopica ma soprattutto attraverso il confronto nel tempo di fotografie seriate della lesione (vedi il capitolo sul Nevo)
Il trattamento laser viene attualmente utilizzato solo per lesioni di piccole dimensioni (3 mm di spessore massimo).
Le modalità di esecuzione variavano dalla fotocoagulazione diretta con alte potenze, alla metodica Low Energy-High Exposure introdotta allo scopo di aumentare la profondità della necrosi.
Tali metodiche attualmente non si utilizzano più e sono state sostituite validamente dalla Termo Terapia Transpupillare laser (TTT). La TTT è eseguita, dopo anestesia locale (iniezione retrobulbare), con un apparecchio laser costruito a questo scopo. Infatti il fascio laser (infrarosso) viene indirizzato sulla superficie tumorale mediante una lente appoggiata sulla cornea. Vengono così eseguiti numerosi spot laser della durata di 60 secondi, con potenze e diametri tali da determinare una necrosi termica a tutto spessore del tumore. La TTT può essere ripetuta altre volte a distanza di mesi fino ad ottenere una completa distruzione del tumore.

La sopravvivenza dei pazienti dopo questo tipo di trattamento appare sovrapponibile a quella ottenuta con le altre metodiche conservative.
La resezione chirurgica locale del tumore, introdotta da Foulds, comporta l'asportazione del tumore dall'esterno. E' una tecnica chirurgica di difficile esecuzione e limitata ai melanomi dei corpi ciliari e dell'iride.
Il trattamento conservativo del melanoma uveale attualmente più utilizzato è la radioterapia. Lo scopo della radioterapia è quello di sterilizzare il tumore inibendo la capacità replicativa cellulare. Il melanoma uveale viene considerato radioresistente e per il suo trattamento devono essere utilizzate dosi elevate di radiazioni (50-60 Gy), in genere mal tollerate dalle strutture intraoculari più radiosensibili (cristallino, nervo ottico, retina).
Appare quindi indispensabile utilizzare tecniche di irradiazione che consentano di somministrare alte dosi al tumore risparmiando invece i tessuti peritumorali sani. Già nel 1929 Moore tentò questo approccio utilizzando una tecnica di brachiterapia interstiziale con aghi di Radon impiantati direttamente nella massa neoplastica. Da allora ad oggi nuove e più sofisticate metodiche sono state introdotte: la brachiterapia con placca episclerale, la radioterapia con adroni (protoni e ioni elio) e la radiochirurgia con Gamma Knife.
La placca episclerale è costituita da un guscio metallico di forma e dimensioni adeguate, contenente un isotopo radioattivo (Cobalto 60, Rutenio 105, Iodio 125). La placca viene suturata alla sclera in corrispondenza del tumore permanendo il tempo necessario (sino a 10 giorni ) a somministrare una dose totale di almeno 100 Gy. Grazie al guscio metallico l'irradiazione avviene prevalentemente verso il tumore con una dispersione minima ai lati della placchetta. Mediante questa tecnica possono essere trattate lesioni con spessore massimo di 5-8mm.
La radioterapia con adroni utilizza generalmente protoni con energia di almeno 75 MV prodotti da un ciclotrone. Le caratteristiche fisiche dei protoni (picco di Bragg) consentono di ottenere un fascio molto collimato in grado di cedere tutta la dose terapeutica sul bersaglio ad una profondità voluta. Presso il Massachussets General Hospital-Harvard Cyclotron Laboratory di Boston, dal 1976 ad oggi, sono stati trattati oltre 2000 pazienti. La dose totale somministrata è stata di 70 Gy equivalenti. L'analisi più recente è stata condotta su 1006 casi ed è risultata in un controllo locale a 5 anni del 96%; il 90% dei pazienti guariti ha conservato l'occhio, il 50% l'acuità visiva. Possono essere trattati tumori di tutte le dimensioni ed in qualsiasi sede, ma i migliori risultati sono stati ottenuti nelle lesioni con diametro inferiore a 16mm e spessore inferiore ad 8 mm che interessavano la sola coroide.
La Gamma Knife è una apparecchiatura complessa, che comprende, oltre l'unità radiante, i sistemi per la localizzazione del tumore, la definizione del piano di trattamento ed il controllo del trattamento.
Il cuore della Gamma Knife è un computer (Gamma Plan) direttamente interfacciato con i più sofisticati sistemi di imaging neuroradiologici (tomografia computerizzata e risonanza magnetica ad alta definizione).

Sullo schermo del computer, al quale giungono direttamente le immagini diagnostiche, l'operatore è quindi in grado di localizzare il tumore, disegnarne i margini, individuare le parti anatomiche da non irradiare, scegliere il collimatore di diametro adeguato alle dimensioni del tumore, calcolare la dose di irradiazione (tempo per numero di shot) ed infine visualizzare le isodosi del trattamento direttamente sull'immagine neuroradiologica.
L'unità radiante contiene 201 sorgenti di cobalto-60 collocate in un corpo emisferico centrale. Il raggio emesso da ciascuna sorgente di cobalto viene accuratamente collimato e fatto convergere con precisione in un punto comune, definito isocentro, corrispondente all'intersezione dei raggi nel centro del casco collimatore. La distribuzione geometrica delle sorgenti e il sistema di collimazione assicurano così dosi elevate all'isocentro, di cui possono essere variate forma e dimensioni, con risparmio dei tessuti perilesionali sani.

Tutte e tre le metodiche di irradiazione (placche, protoni e Gamma Knife) sono delle valide alternative all'enucleazione che è ormai riservata a casi limitati.
In particolare la Gamma Knife, a differenza delle placche episclerali, consente d'irradiare i melanomi dell'uvea senza limitazioni di spessore o di sede. Il trattamento avviene in un'unica seduta e dura mediamente 4 ore a differenza dei protoni che necessitano di un intervento chirurgico per posizionare dei marker radiopachi, la costruzione di una maschera, ed almeno 3-4 sedute di trattamento.